Comprehensive Dental Care
We provide a dental home and tailor a personalized treatment plan for every individual.
Starting with a comprehensive exam and necessary x-rays we will take account of your current dental health and any existing fillings, crowns etc. as well as the condition of your gums and soft tissue.
We Offer:
- Tooth colored fillings (composite)
- Ceramic or gold crowns and bridges
- Same Day Crowns
- Root Canals
- Extractions
- Implants
- Cleanings
- Digital x-rays (lower exposure)
Our Services

Crown & Bridge
Crowns and bridges are indirect (made outside the mouth) restorations that cover and protect all surfaces of a tooth. We offer gold crowns and porcelain crowns and can complete some crowns in just one appointment.

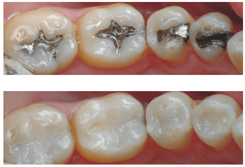
Fillings
We provide tooth colored fillings that are beautifully sculpted to repair and replace damaged tooth structure

Implants
Dental implants provide the most realistic replacement option for missing teeth. After careful evaluation it will be determined if your implant can be completed at our office or if you need to be referred to a specialist
Services- Cont.

Cleanings/Hygiene
There are several levels of cleaning depending on your periodontal and gingival health.
Prophylaxis- standard cleaning
Debridement- first stage of deep cleaning
Scaling/Root Planing- Deep cleaning with numbing.
Periodontal Maintenance- your "regular" cleaning after the SRP

Root Canal Therapy
We provide root canal therapy for select teeth while referring others to a specialist based on the difficulty of the tooth's anatomy.
Root canal therapy has a long history of success in retaining natural teeth that have died due to trauma or deep cavities

Fair Prices
Our fees fall within the normal range of what you will find in Anchorage and we will gladly provide you an estimate of the total treatment cost as well as the estimated insurance coverage. We accept most insurances and are preferred provider or in network for many. As a courtesy we will gladly bill your insurance, however we do require payment of your anticipated portion at the time of service.